歯列矯正 ゴムかけ 340009-歯列矯正 ゴムかけ とは
ゴムかけは 上下の咬み合わせを調整するため に行っていただきます。 上の写真の歯並びを見ていただくと、上下の正中(歯の真ん中)がずれています。 上の歯列を左に移動させて、正中の位置を合わせるために上下の歯にゴムをかけて動かしています。 ワイヤーによって上下それぞれの歯並びが良くなっても、 上下の中心のズレが残る可能性があるのでゴムによって調整 していくようですね。 私も 器具を取り付けてからおよそ1年半経過した段階からゴムかけ が始まりました。 こんにちは、八重歯ちゃん(@goodbye_yaeba)です。 昨日12回目の調整に行ってきました。 そして遂に、、遂に、、 ゴム掛けが始まりましたーーーー!! 私の歯列矯正ライフも次の段階に入ったということなんでしょう
歯科矯正でのゴムかけは痛い 専門医が詳しく解説します ハコラム
歯列矯正 ゴムかけ とは
歯列矯正 ゴムかけ とは-柏市の方必見!歯科矯正のゴムかけの種類と注意点は? 「歯並びを矯正したいけど、どのような方法があるのだろう?」 「ゴムかけは歯科矯正に適しているのだろうか?」 このように、ゴムかけのことを詳しく知りたいとお考えの方はいらっしゃいません今日は歯列矯正スタートから今日までのこと、まとめてお話したいと思います。 矯正前の前準備 虫歯の治療と親知らずの抜歯 歯列矯正スタート ブラケットとワイヤーの装着 口内炎問題 ゴムかけによる不定愁訴の出現 食事と歯磨きについて 食べにくい食べ物 おすすめの歯ブラシ 1年6ヶ月目の



ゴムかけは歯列矯正成功のカギ 顎間ゴムの正しい使用法と役割
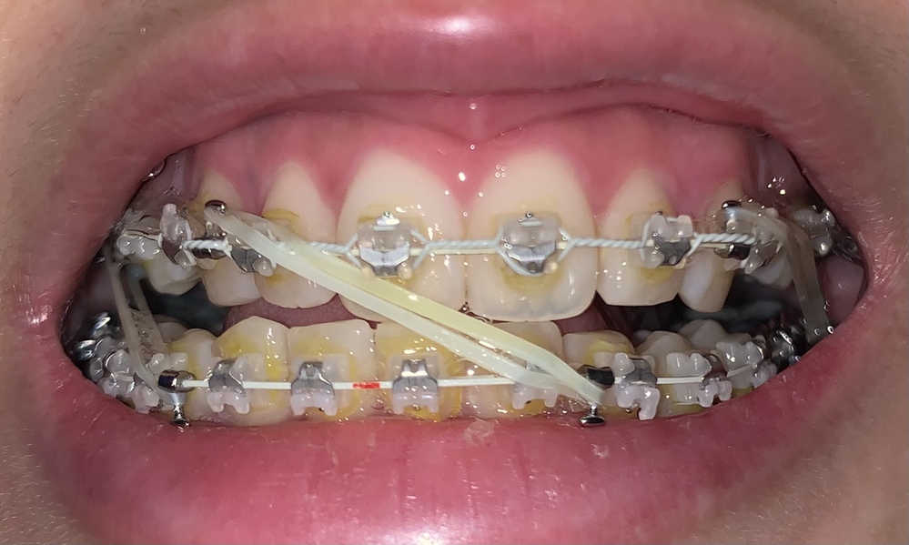
☆さゃ☆の歯列矯正ブログ 1510~表側矯正始めました♪ 前歯は重なっていて出っ歯だし上も下も歯はバラバラ顎は小さいのに歯は大きいワガママな歯達を頑張って矯正中っ! アメ限もありますがお気軽に見ていって下さいね♪♪矯正戦士さん!矯正体験レポート第五回:顎間ゴムを付けました! こんにちは♫日本橋はやし矯正歯科のスタッフです! スタッフブログの矯正体験レポート、早いものでもう五回目となりました~♫ 今年もみなさまに矯正治療の経過の様子や感想をお 私のゴムかけ 私は30代直前で歯列矯正を始めましたが、開始から1年半経過し次のステップとしてゴムかけが始まりました。 下の写真のように行っています。 下の歯を左方向に動かすために左上の奥歯と左下3番を結び、さらに右下奥歯と右上3番を結んでい
矯正の途中で、歯医者さんから「ゴムかけ」の指示が出たら、指定された期間は「顎間ゴム」をつけることになります。 つける時間は長い方がよく、 1日最低でも12時間以上 は装着する必要があります。出っ歯の顎間ゴムのかけ方:II級ゴム マルチブラケット装置を使ったワイヤー矯正 ではほとんどのケースで顎間ゴムが使われます。 マウスピース矯正でも顎間ゴムは使用されることがあります。 犬歯~大臼歯部にかけて上・下歯列全体の前後的な移動を 矯正中のゴムかけについて、少し教えて下さい。 私は今、矯正をしていて歯列も素人目には大分整い、今月からゴムかけが始まりました。 ゴムかけは、なるべく一日中つけておいてねと言われました。 現在、このゴムは歯磨きをする時以外つけるようにしているのですが、食事中もつけ
ゴムかけの謎 現在、ゴムかけ装置(カリエールディスタライザー)で 噛み合わせを正しながら 前歯に隙間をつくっています。 そんな中、かかせないのがゴムかけ。 始めは『面倒くさいだろうなぁ』 と矯正のゴムかけの装着期間は2~3カ月 顎間ゴムを装着する期間は、歯列矯正期間のなかの数カ月 (2カ月〜3カ月)が多い ですが、装着時間が指示されていた時間よりも短かったり、無意識の癖が出たりする方も中にはいらっしゃいます。 ゴム掛けによる歯並びの変化 こんにちは、名古屋市千種区の星ヶ丘DC矯正歯科の北森です。 今回は久しぶりに私の歯列矯正の進行状況をお届けします! スタッフの歯列矯正の記事は↓↓から 裏側矯正スタート→ こちら 横顔の変化→ こちら ガミース



顎間ゴム Twitter Search



インビザライン矯正の治療で重要な 顎間ゴム とは 前橋市の歯医者 田口歯科医院
学校でゴムかけは難しい? 長時間使ってほしい顎間ゴム 「顎間ゴム(エラスティック)」は矯正治療のひとつで、輪ゴムを使って歯の位置を調整したり、噛み合わせを改善するために使用します。 ワイヤー矯正中に顎間ゴムを使用することでより良い 歯列矯正で使用するゴムってどんなもの? ではゴムのかけ方のコツはあるのでしょうか。 ゴムを矯正歯科医院の指示通りに使用しないと、治療期間が長くなったり治療ゴールが達成できない場合もあります。



ゴムかけ



矯正記録 66 ゴム掛け終了でいよいよ矯正終盤 出っ歯にさよなら 歯列矯正日記



歯列矯正の記録



先天性欠如歯 矮小歯からの歯列矯正体験記 No 15 エイリアンのよだれ その2 はたこトラベル營業中



出っ歯 開咬 受け口の矯正治療に効果絶大の顎間ゴムかけ



エラスティックス カトウ矯正歯科



ゴム掛けによる歯並びの変化 スタッフブログ 名古屋で歯列矯正なら星ヶ丘駅1分の星ヶ丘dc矯正歯科



矯正治療中のゴムかけについて 顎間ゴム 品川区で歯列矯正なら武蔵小山kt矯正歯科



矯正の ゴムかけ とは やる やらないで矯正効果に歴然の差 歯科オンライン



矯正治療でのゴムかけ 医院ブログ



矯正 17 八重歯を引っ張る Youtube



美しい歯並びへ 矯正のゴムかけの効果とは さぼってしまった場合のリスクも解説 総社市の歯医者 むかえ歯科



顎間ゴム Twitter Search



ゴムかけの顎間ゴムの種類 実はこんなにあります 歯列矯正



ゴムかけは歯列矯正成功のカギ 顎間ゴムの正しい使用法と役割



矯正体験レポート第五回 顎間ゴムを付けました 公式 日本橋はやし矯正歯科



矯正装置 矯正ゴム 船橋市の矯正歯科専門 かねもと矯正歯科



大人の歯列矯正 ゴムかけ に現れた強敵とは Omezaトーク ダイエット フィットネス ヘルスケアのことならfytte フィッテ



マウスピース型矯正歯科装置 インビザライン 大分矯正歯科 大分駅徒歩1分の歯列矯正歯科医院 大分市 別府市 佐伯市 由布市など大分県内全域から来院



3



歯列矯正の最終ステップ 最大の困難に立ち向かう 美的 Com



歯列矯正 恐怖の ゴムかけ始まりました 25歳からの歯科矯正と日常のイロイロ



矯正の ゴムかけ とは やる やらないで矯正効果に歴然の差 歯科オンライン



歯列矯正で使用するゴムってどんなもの



大人の歯列矯正613日目 顎間ゴムかけをサボった結果どうなったか よりどりみどり



歯列矯正で使用するゴムってどんなもの



歯列矯正の最終ステップ 最大の困難に立ち向かう 美的 Com



大事な 顎間ゴム エラスティック 千葉県八千代市の矯正歯科専門医 まきの歯列矯正クリニック



3



先天性欠如歯 矮小歯からの歯列矯正体験記 No 15 エイリアンのよだれ その2 はたこトラベル營業中



歯列矯正を早く終わらせたい方必見 3つのスピード矯正方法のご紹介 オフィシャルブログ



エラスティックス カトウ矯正歯科



大人の歯列矯正 アラサーの大事な4年を捧げた歯並び改善 全部見せます Baila



インビザライン矯正の治療で重要な 顎間ゴム とは 前橋市の歯医者 田口歯科医院



歯列矯正中のゴムかけ スタッフブログ 名古屋で歯列矯正なら星ヶ丘駅1分の星ヶ丘dc矯正歯科



歯列矯正中のゴムかけってどんなもの 付け忘れたりサボったりするのは損 大人矯正ろぐ



歯列矯正のゴムかけ かけ方にはコツがあります 道具不要のやり方



ゴムをかけて歯を引っ張る 千葉県柏市で歯列矯正なら柏kt矯正歯科



大事な 顎間ゴム エラスティック 千葉県八千代市の矯正歯科専門医 まきの歯列矯正クリニック



矯正のゴムかけ さぼると損 注目すべき理由とその効果 矯正歯科ネット



歯科矯正でのゴムかけは痛い 専門医が詳しく解説します ハコラム



とても大事なゴムかけ 顎間ゴム について 名古屋市北区 みずの矯正歯科



4人のおかん くまさんのブログ Decolog



矯正治療のゴムの装着 親知らず抜歯 装置が外れた時 保定装置q A



歯列矯正中のゴムかけによる効果は 3ヶ月間の実施で変化が現れた 大人矯正ろぐ



矯正治療に多用される顎間ゴム エラスティック とは コラム 公式 K Braces矯正歯科原宿駅前



矯正のゴムかけを早く終わらせるには ゴムかけが必要な理由と留意点 Smileteeth スマイルティース



矯正治療中のゴムかけをサボらず 継続できた先輩たちの工夫とは 歯並び おまかせ Com



歯列矯正17か月目 最終調整 ゴムかけ牽引開始 りまいんど



矯正歯科で使われる顎間ゴムとかけ方 フェイストーク麻布十番矯正歯科 矯正歯科専門クリニック



見た目以外にも変化が 大人の歯列矯正 2年半目で感じたメリット Omezaトーク ダイエット フィットネス ヘルスケアのことならfytte フィッテ



学校でゴムかけは難しい 長時間使ってほしい顎間ゴム 矯正歯科ネット



次男の矯正4回目 出っ歯にゴムかけ開始 思春期真っ只中 3歳差兄弟の母が綴る日記 楽天ブログ



ゴム掛けによる歯並びの変化 スタッフブログ 名古屋で歯列矯正なら星ヶ丘駅1分の星ヶ丘dc矯正歯科



マウスピース型矯正装置 インビザライン のゴムかけについて 大宮駅2分 大宮shin矯正歯科



3



大人の歯列矯正 アラサーの大事な4年を捧げた歯並び改善 全部見せます Baila



顎間ゴムを行う理由 岡山県玉野市の矯正歯科なら たにもとゆうこ矯正歯科におまかせ



矯正のゴムかけ さぼると損 注目すべき理由とその効果 矯正歯科ネット



歯列矯正やマウスピース矯正で行うのゴムかけの効果と種類 南青山矯正歯科 審美歯科



顎間ゴムを行う理由 岡山県玉野市の矯正歯科なら たにもとゆうこ矯正歯科におまかせ



マウスピース型矯正歯科装置 インビザライン 大分矯正歯科 大分駅徒歩1分の歯列矯正歯科医院 大分市 別府市 佐伯市 由布市など大分県内全域から来院



歯列矯正表側のゴム掛けについてです 正中を合わせるために前側 Yahoo 知恵袋



ゴム掛け凄い かなみひめの歯列矯正日記 33歳 反対咬合 手術なし



メルカリ 歯列矯正ゴム ゴムかけフック 4本入り オーラルケア 330 中古や未使用のフリマ



ゴムかけは歯列矯正成功のカギ 顎間ゴムの正しい使用法と役割



歯列矯正はじめました その32 ゴムかけのお休み期間 Imperfect Diamond



歯科矯正のレベリングにはどのくらいの期間が必要 専門医が詳しく解説します ハコラム



ワイヤー矯正ブログ石井編 年2月2日 最近の歯の動き こんにちは 衛生士の石井です 矯正治療を始めて約7ヶ月が経過しました ㅤㅤㅤㅤㅤㅤㅤㅤㅤㅤㅤㅤㅤㅤㅤㅤㅤㅤㅤㅤㅤㅤㅤㅤㅤㅤㅤㅤㅤㅤㅤㅤㅤㅤㅤㅤㅤㅤㅤㅤㅤㅤㅤㅤㅤㅤㅤㅤㅤㅤㅤㅤㅤㅤ



矯正治療でのゴムかけ 医院ブログ



39歳から歯列矯正をはじめた3児の母のブログ



柏市の方必見 歯科矯正のゴムかけの種類と注意点は 柏市の歯医者 ウィズ歯科クリニック



重度の受け口が治療期間約1年で改善 Album 249 石井歯科矯正歯科医院



歯列矯正におけるゴムかけの効果を写真で確認して下さい 歯科医 藤城康二 マイベストプロ東京



マウスピース型矯正装置 インビザライン のゴムかけについて 大宮駅2分 大宮shin矯正歯科



矯正体験レポート第五回 顎間ゴムを付けました 公式 日本橋はやし矯正歯科



ゴムかけ Twitter Search



歯列矯正 ゴムかけの期間は人それぞれ 体験談をお話しします



歯列矯正で知っておいて欲しいこと 7 輪ゴム治療とリテーナー 途中経過2年目



歯列矯正 S A様 15歳 女性 矯正ははじめは痛かったけど 慣れるとあまり痛くなかったです でも 矯正をして本当に良かったです 理由は 矯正をする前はとてもよろしくない歯並びだったけど したことにより ちょーよくなったからです



スタッフブログ 矯正歯科 裏側矯正専門のイーライン矯正歯科



矯正歯科で使われる顎間ゴムとかけ方 フェイストーク麻布十番矯正歯科 矯正歯科専門クリニック



歯列矯正やマウスピース矯正で行うのゴムかけの効果と種類 南青山矯正歯科 審美歯科



歯列矯正ついにゴムかけ 痛い 見た目は どうやるの Youtube



インビザラインで歯列矯正 ゴムかけ が始まりました No 9 12 62 最小出力ブログ



ゴムかけの効果 えちこの歯列矯正blog 現在はリテナ戦士



驚異のゴムかけパワー 写真有注意要 50の決意 歯列矯正記録と矯正とは無関係なお話



ゴム掛け始まりましたー おきらく日記



N9onmb Sp26btm



矯正中のゴムかけの正しい位置を教えて かけかたを忘れても慌てないで 歯科オンライン



1



とても大事なゴムかけ 顎間ゴム について 名古屋市北区 みずの矯正歯科



大人の歯列矯正699日目 顎間ゴムは続くよどこまでも よりどりみどり



矯正治療に多用される顎間ゴム エラスティック とは コラム 公式 K Braces矯正歯科原宿駅前



顎間ゴムを行う理由 岡山県玉野市の矯正歯科なら たにもとゆうこ矯正歯科におまかせ



横顔で気づく太りとeライン 大人の歯列矯正 11ヶ月目 Miki Sato Note



歯列矯正で使用するゴムってどんなもの



歯列矯正におけるゴムかけの効果を写真で確認して下さい 歯科医 藤城康二 マイベストプロ東京



矯正のゴムかけで大切な3つのルール



先天性欠如歯 矮小歯からの歯列矯正体験記 No 14 エイリアンのよだれ その1 はたこトラベル營業中



ゴムをかけて歯を引っ張る 千葉県柏市で歯列矯正なら柏kt矯正歯科



ゴムかけ 30歳からの歯列矯正 ステキな歯並びを目指して In 札幌


コメント
コメントを投稿